Computertomographie-gesteuerte Knochendichtemessungen von der Lendenwirbelsäule Q-CT ( BMD)
Die Wird als individuelle Eigenleistung ( IGEL) angeboten
Die Knochendichtemessung oder Osteodensitometrie ermöglicht eine qualifizierte Aussage zur Knochenqualität und ist sowohl zur Vorsorgediagnostik als auch zur Therapiekontrolle bei Osteoporose erforderlich. Die Untersuchung ist völlig schmerzfrei, nichtinvasiv und wird im Liegen durchgeführt!
- Osteodensitometrie
Osteoporose:
Die Osteoporose wird auch Knochenschwund genannt und ist ein übermäßiger Abbau der Knochenmarksubstanz und – Struktur mit erhöhter Frakturanfälligkeit. Durch ein Ungleichgewicht zwischen Knochenaufbau und Knochenabbau zugunsten des Abbaus kommt es zum Verlust der Knochenmasse. Sie betrifft das gesamte Skelett.
Ursachen der Osteoporose:
• Familiäre Veranlagung (Verwandte mit Osteoporose)
• Postmenopausale Osteoporose bei Frauen ab 40 Jahre alt, durch eine Störung der Geschlechtshormone
• Schilddrüsenerkrankungen und der damit verbundene gestörte Cortison-Haushalt
• Ernährungsfehler mit Mangel an Calcium, das dem Knochen Festigkeit verleiht und Mangel an Vitamin D, das die Aufnahme von Calcium aus der Nahrung fördert
• Bewegungsmangel, da richtige Bewegung den Knochenaufbau und die Festigung des Knochens fördert
• Rauchen
• Übermäßiger Alkoholkonsum
• Hochdosierter und regelmäßiger Gebrauch bestimmter Medikamente, die den Abbau des Knochengewebe fördern, wie z. B. Cortison zur Behandlung von Rheuma, Asthma, oder Allergien oder Heparin zur Hemmung der
Blutgerinnung
• Diabetes mellitus
• Störung der Nebenschilddrüse und Nebennierendrüse
• Bösartige Erkrankungen des Knochenmarks und anderes
Diagnostik der Osteoporose:
In jedem Fall ist eine frühzeitige Diagnosestellung der Osteoporose wichtig, um so schnell wie möglich eine geeignete Therapie einleiten zu können.
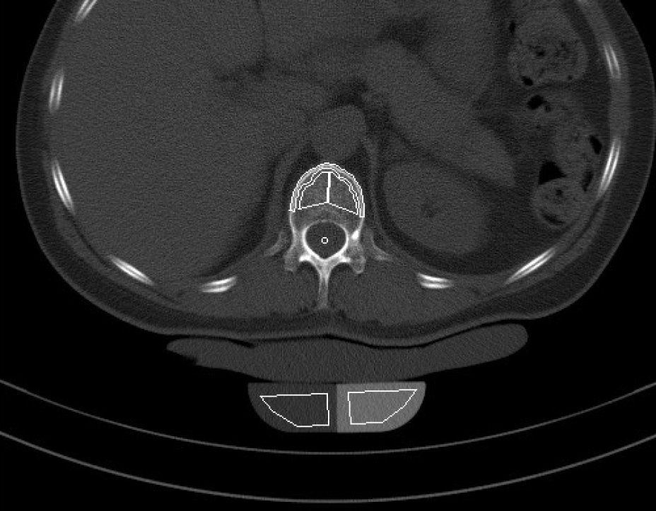
Die Knochendichtemessung mittels Computertomographie (Q.CT) ist eine der genausten Methoden zur Bestimmung der Knochendichte und gilt als Goldstandard. Sie ist sowohl für die Diagnosestellung als auch zur Verlaufskontrolle geeignet. Zur Bestimmung der BMD (engl.: Bone Mineral Density) werden bei der quantitativen Computertomographie ca. 3 bis 4 Scans von der Lendenwirbelsäule angefertigt. Aus der Knochendichte dieser Wirbelkörper wird der Mittelwert ermittelt. Dieser wird dann mit der Knochendichte eines gleichaltrigen Knochengesunden verglichen und in Relation dazu gesetzt. Je nach der Dichte des Knochens wird die Osteoporose dann in mehrere Stadien eingeteilt. Da die Knochendichtemessung (Q.CT) keine Kassenleistung ist, bieten wir die Untersuchung als
IGEL - Leistung an.
Therapie der Osteoporose:
Aus den Ursachen für die Osteoporose ergeben sich auch die Therapiemaßnahmen, u. a. :
• Körperliche Aktivität
• Vermehrte Calciumaufnahme, ca. 1g/Tag
• Gesunde ausgewogene Ernährung
• Ausreichendes Sonnenlicht, das die Produktion von Vitamin D in der Haut fördert
• Vitamin D-Zufuhr
• Bei einer manifesten Osteoporose Einnahme von Medikamenten wie Bisphosphonate
(z. B. Fosamax®/Fosavance®, Actonel®) oder Calcium-Vitamin D-Kombi-Präparate (z. B. Ideos®).
Weitere Möglichkeiten einer Osteoporose vorzubeugen oder eine ggf. schon bestehende zu therapieren, erfahren Sie von Ihrem Arzt.
Q-CT gestützte Knochendichtemessung
Osteoporose - Auswertungszusammenfassung
Xstrahl 200
Fa. X Strahl Medical GmbH








